在饭局上,总不乏这样一幕:酒刚端上桌,有人豪迈地一口闷下三杯,仍能神采飞扬妙语连珠;而也有人只是象征性抿了一口,整张脸就秒切成高饱和番茄红,引得全桌起哄调侃“一杯倒”。
喝酒脸红,是潜在的AD信号灯,基因在背后“拉闸”
但这不只是“酒量问题”这么简单。在东亚人群中,“喝酒脸红”现象非常普遍,其背后其实藏着一个基因层面的“开关”:ALDH2 rs671。如果这个位点发生突变,关键的乙醇脱氢酶2(ALDH2)就会“罢工”,导致乙醛在体内堆积,脸红、心跳加速、灼热难耐。
而这类人不仅仅是“喝酒不适”,还可能正在无声无息地把自己推向阿尔茨海默病(AD)的风险轨道。
此前一项发表于Nature Communications的研究发现,携带ALDH2 rs671变异(AA或AG型)的喝酒脸红人群,其大脑中不仅AD关键病理标志——Aβ斑块显著增多。
分析结果表明,携带ALDH2 rs671基因变异的个体,其大脑中Aβ斑块的沉积显著增多。
为了进一步确认ALDH2活性的下降是否真的会“推波助澜”Aβ病理加重,研究团队又在动物模型中进行了严密验证。
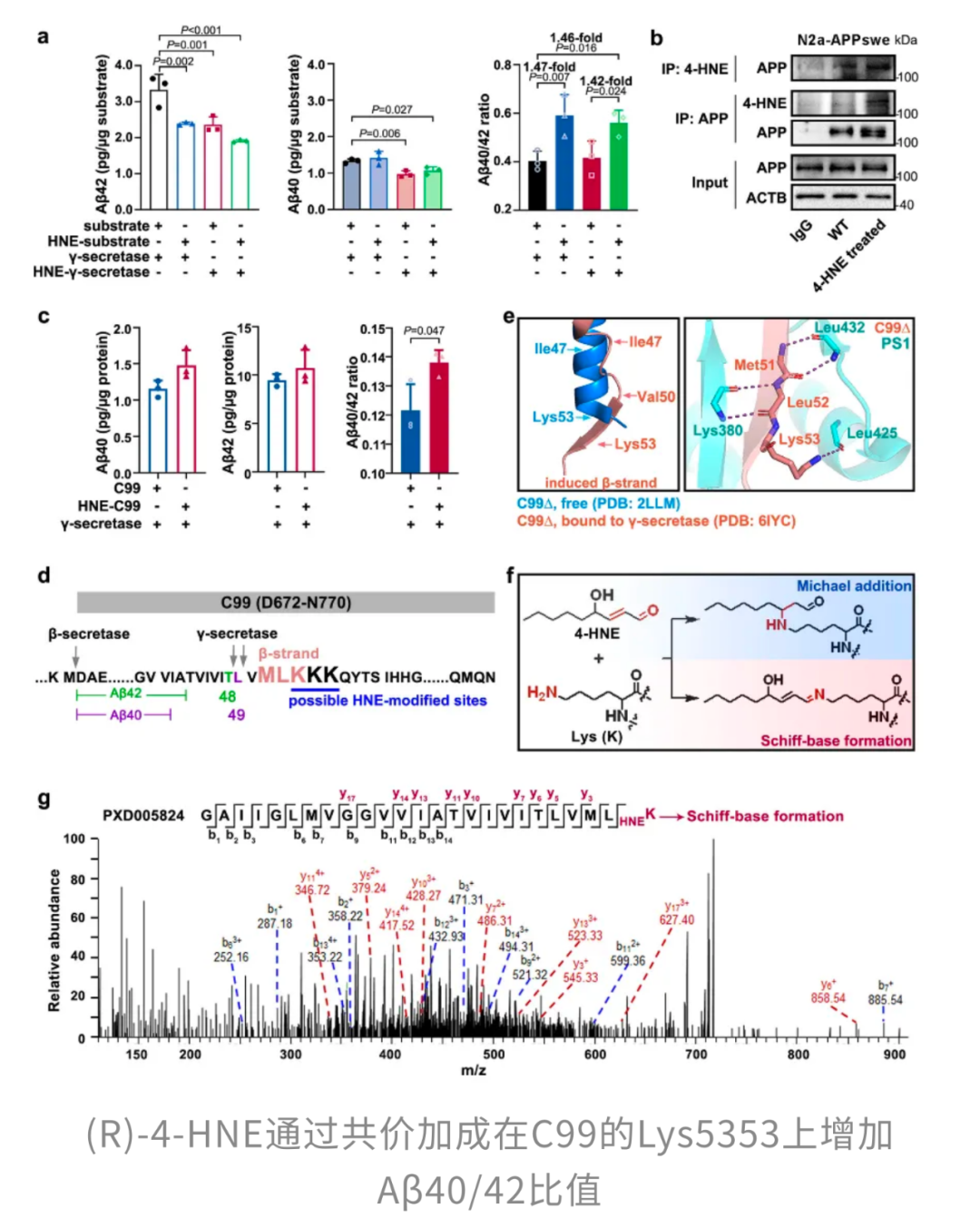
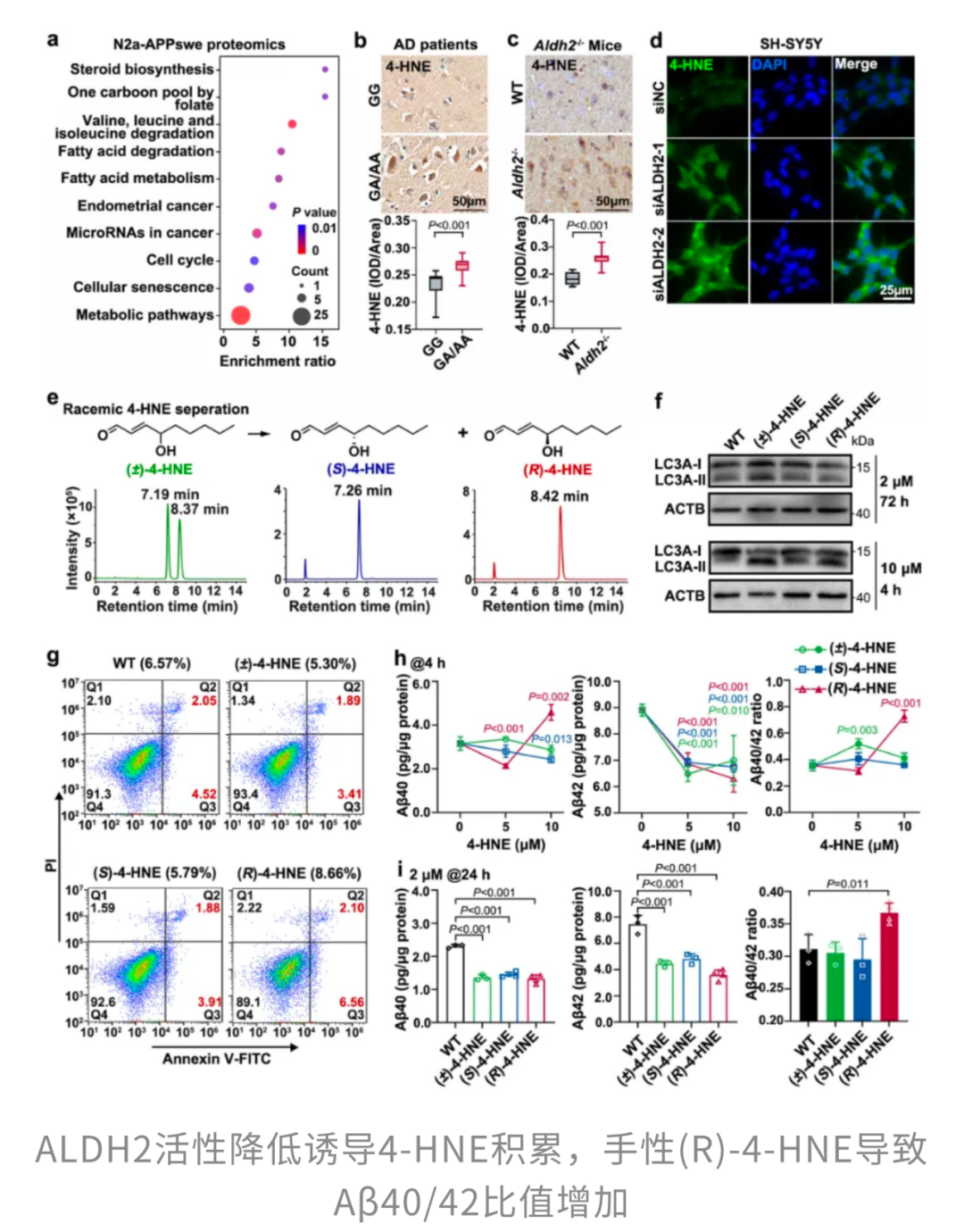
那么,ALDH2功能下降到底是如何推动Aβ变化的呢?关键线索指向一种名为4-羟基-2-壬烯醛(4-HNE)的内源性醛类分子。平时,ALDH2负责清除这些潜在的有害醛类物质。一旦 ALDH2 活性下降,这些4-HNE便开始在神经元中悄悄积累,慢慢搅动本来平衡的Aβ生成机制。
不过,4-HNE 并不是单纯的“化学垃圾”,它还有“手性”,即存在R型和S型两种对映体。研究团队通过精密的手性分离技术,获得了高纯度的R型和S型4-HNE,并发现R型4-HNE能够显著提升Aβ40/42的比值。
机制上来说,R型4-HNE通过与Aβ前体蛋白C99的Lys53残基发生一种被称为 Schiff碱反应的化学修饰,改变了C99的空间构象。换句话说,它像给C99装上了一副“偏心的剪刀”,让γ-分泌酶更倾向于在高尔基体中切出较短的Aβ40,同时相对减少了更长的 Aβ42生成。最终,这一微调导致了Aβ40/42比值升高,推动了斑块形成的节奏。
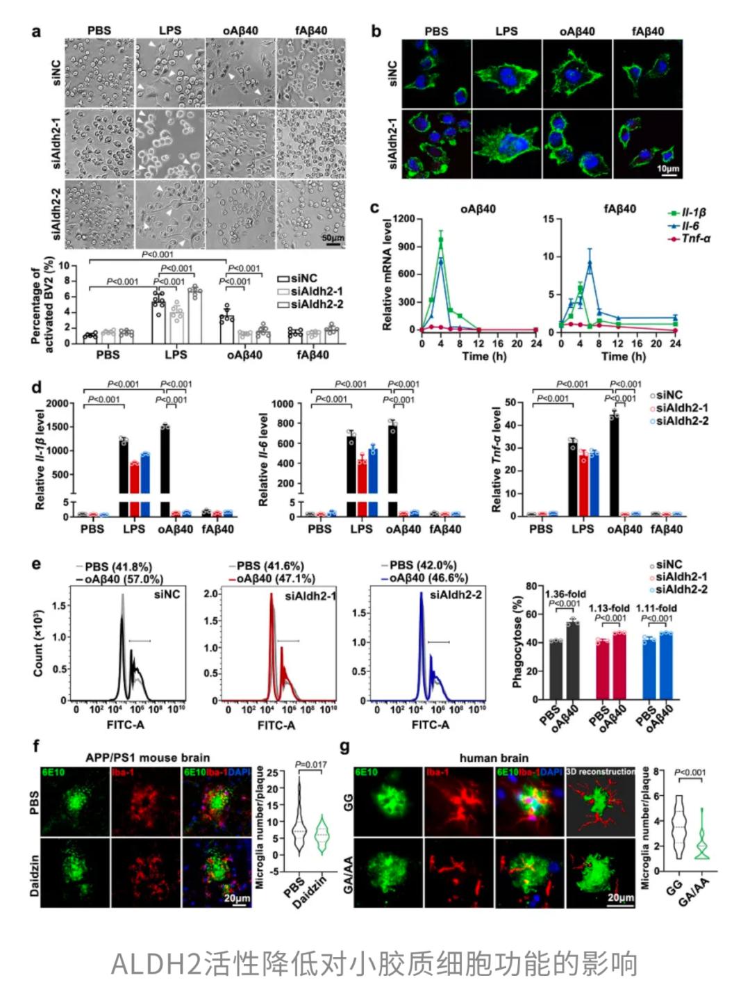
除了在神经元中推动Aβ的产生,ALDH2的缺失还间接拖慢了大脑的“清道夫系统”——小胶质细胞。正常情况下,一旦发现Aβ异常堆积,就会迅速启动防御:释放炎症因子发出警报、吞噬Aβ进行清除,甚至还会紧紧围住斑块,筑起一道防止扩散的“免疫屏障”。
但当ALDH2活性下降时,这支“清道夫部队”反应明显迟钝了。面对Aβ刺激,它们释放炎症因子的能力变弱,清除Aβ的吞噬动作也明显减慢,甚至连原本应该围堵斑块的“包围网”都不愿意主动形成。
也因此,ALDH2的缺陷并不是单纯让Aβ“产量上升”这么简单,它是“双线放任”:一边加速生产,一边削弱清除。结果就是,大脑中Aβ更容易积累,更容易扩散,也更难以控制。
总的来说,这项研究揭示ALDH2基因变异与AD中的Aβ病理学变化正相关,ALDH2活性降低通过增加4-HNE积累,进而影响Aβ的生成和微胶质细胞的功能,从而加剧了AD的病理进程。
喝酒上脸≠酒量差,还老得更快
说到底,“喝酒上脸”这件事,本质上是代谢能力的差异。真正决定酒量的并不是“酒桌经验”,而是肝脏中的两类解酒酶:乙醇脱氢酶(ADH)和乙醛脱氢酶(ALDH)。
酒精进入体内后,第一步由ADH将它代谢为有毒的乙醛;第二步,再靠ALDH把乙醛继续分解成无毒的乙酸。问题在于,亚洲人通常在第一步表现还算稳健,真正“掉链子”的是第二步——一旦因为ALDH2基因存在突变,ALDH的活性显著下降,乙醛就会来不及被清除,只能在体内高速积累,呈现在表面就是熟悉的脸红、心跳加快、头痛乃至反胃。
但这些外在反应,其实只是乙醛的“浅层警告”。更值得警惕的是,当这类高反应性的内源性醛类在体内长期堆积,它造成的潜在伤害,可能远远超过“社交尴尬”,甚至会牵动细胞功能与衰老速度。
另一项发表于Nature子刊Nature Cell Biology的研究[2]便首次提出:醛类诱导的DNA 损伤,与早衰之间存在直接关联。醛类分子极其活跃,能够与DNA和蛋白质发生强烈反应,形成DNA-蛋白交联(DPC),从而阻断细胞复制与维持所需的重要酶类,最终导致细胞功能障碍,乃至加速衰老。
研究者在一种典型的早衰病——AMeD综合征中发现,患者体内ADH5和ALDH2两种清醛酶同时缺失,无法及时清除内源性醛类,导致DNA持续受损,最终出现骨髓衰竭、智力障碍、发育迟缓等症状。这意味着内源性醛类的积累,可能是推动早衰的重要因素。
为进一步揭示机制,团队开发了DPC-seq高通量技术,并证实醛诱导的DPC会集中出现在高活性转录区,而清除它们则需要转录偶联修复(TCR)+ VCP/p97 +蛋白酶体形成的多通路协作系统才能完成。
随后,在双基因突变(Adh5−/−和Aldh2-E506K)的小鼠模型中,这一现象被清晰重现:由于缺乏Adh5和Aldh2两种酶,它们体内的醛类化合物和DPC水平显著升高。
而且,这些存在基因缺陷的小鼠,寿命明显更短,它们甚至还表现出贫血。也就是说,在醛类清除机制受损的小鼠中,AMeDS的症状明显,可见内源性醛类的累积与早衰疾病之间存在明显的关联性。
研究人员表示,这项发现不仅能帮助理解早衰的分子根源,也为未来开发清除醛损伤的新型干预策略提供了方向。同时,它也意味着,如果你是那种“一杯酒上脸”的体质,身体可能从代谢层面就已经在向你发出某种长期风险的信号:不仅解酒慢,也可能衰老快。
看来,“喝酒上脸”并不是简单说明了酒量问题,而是身体正在默默打一场大脑保卫战,而脸红,只是战场上最先升起的信号弹。有些代价,可能比一场酣醉更值得警惕。
仍需指出的是,研究主要依赖于尸检样本和动物模型,研究主要依赖于细胞系和动物模型,可能无法完全反映人类活体中的复杂生物学过程。
参考资料:[1]Wang, X., Wang, J., Chen, Y. et al. The aldehyde dehydrogenase 2 rs671 variant enhances amyloid β pathology. Nat Commun 15, 2594 (2024). https://doi.org/10.1038/s41467-024-46899-0
[2]Oka, Y., Nakazawa, Y., Shimada, M.et al. Endogenous aldehyde-induced DNA–protein crosslinks are resolved by transcription-coupled repair. Nat Cell Biol 26, 784–796 (2024). https://doi.org/10.1038/s41556-024-01401-2



微信扫一扫打赏
支付宝扫一扫打赏



评论列表()